近日,黄陂区人民医院放射影像科二区开展多例三叉神经磁共振检查,为临床诊治提供了有力的影像依据。
三叉神经痛(trigeminal neuralgia, TN)是一种常见的脑神经疾病,以一侧面部三叉神经分布区内反复发作的阵发性剧烈疼痛为主要表现。疼痛的程度非常剧烈,主要表现为灼烧、针刺、电击、刀割样疼痛,可伴有患侧面部抽搐、流泪、流涕等。统计数据显示,三叉神经发病多数是年龄偏大的中老年人,特别是40岁以上人群,女性多发,多为单侧,罕见双侧。发作时常常毫无征兆,突发突止,严重影响患者的生活质量、工作以及社会交往。


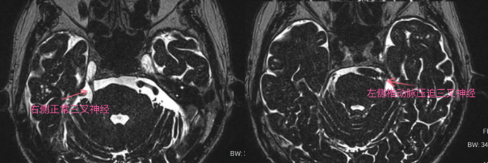
黄陂区人民医院放射影像科二区针对三叉神经痛开展的三叉神经磁共振检查,能获得高信噪比、高空间分辨率的图像,便于观察三叉神经与其邻近血管之间的关系,同时也能判断附近是否有肿瘤占位挤压,有助于明确三叉神经痛及面肌痉挛的病因,为临床治疗及手术提供诊断依据。