近日,黄陂区中医医院脾胃病科联合病理科成功诊治一例十分罕见的常染色体显性遗传病:黑斑息肉综合征(PJS)。随着该病例的成功诊断及治疗,极大程度提升了医院在罕见病方面的医疗服务能力。
患者为70多岁女性,因胃肠功能紊乱到黄陂区中医医院就诊,胃肠镜室为其行无痛肠镜时发现患者肠道内多发息肉,大小不一,其中最大一枚约2*1.2 cm,当即行内镜下结肠黏膜剥离术,并将病变组织送病理检查。
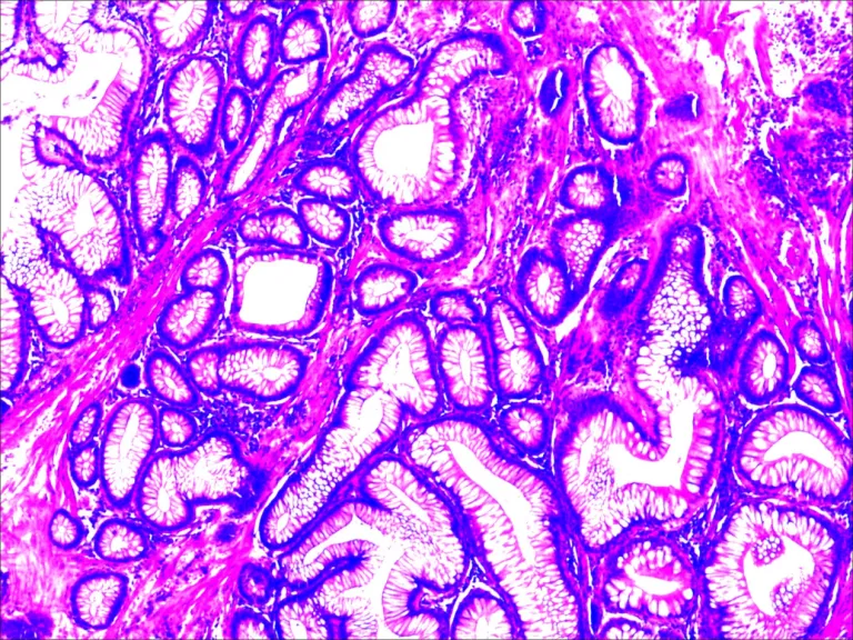
病理科副主任王强在阅片过程中,发现该病理组织其中一枚息肉的形态与常见息肉不同:病变中伴树枝状伸长的平滑肌,周围有增生的非肿瘤性黏膜。根据该形态学表现,王强医生想到了罕见病黑斑息肉的可能性。

为进一步确诊,脾胃病科联合病理科开展疑难病例讨论。患者既往有消化道息肉病史,曾做过息肉切除手术,并且患者皮肤黏膜有多处“黑斑”,这些症状均符合黑斑息肉综合征特征。

黑斑息肉综合征是较为罕见的胃肠道疾病,是由于存在于第19号染色体短臂上(19p13.3)的LKB1/STK11基因突变所致,表现为常染色体显性遗传,但约半数无家族史。其特征是从婴儿期开始观察到的口唇、口腔、手掌、手指等的色素斑和除食道以外的所有消化道的错构瘤性息肉病。与普通人群相比,患有该类综合征的患者发生多种恶性上皮肿瘤的风险增加,如结肠癌、胃癌、胰腺癌、乳腺癌、卵巢癌等。
该综合征属于常染色体显性遗传疾病,因此一旦确诊,则患者的直系亲属也有罹患多种恶性上皮性肿瘤的风险。
针对这一情况,脾胃病科医生向患者及其家属详细沟通了病情,指导后续治疗方案及健康宣教:一是定期进行胃肠镜检查且同时行息肉切除术,避免肠梗阻、消化道出血、息肉癌变等并发症,减少外科手术切除肠管的创伤;二要更为频繁的终身各器官肿瘤监测,做到早诊早治;三是建议直系亲属进行肿瘤相关疾病监测,早期发现病变并及时干预。
此次两学科的联合诊断为疑难罕见病例的确诊提供了关键证据,也为后续治疗指明了方向,充分贯彻了传统医学的“整体观”理念,有效避免走入 “只见树木、不见森林”的误区。下一步,黄陂区中医医院将大力推进数智化病理服务体系建设,更好服务患者健康。