近日,黄陂区中医医院肺病科(呼吸内科)与放射科团队联合,成功开展CT引导下经皮肺穿刺活检术,标志着医院肺部疾病诊断技术取得新突破。
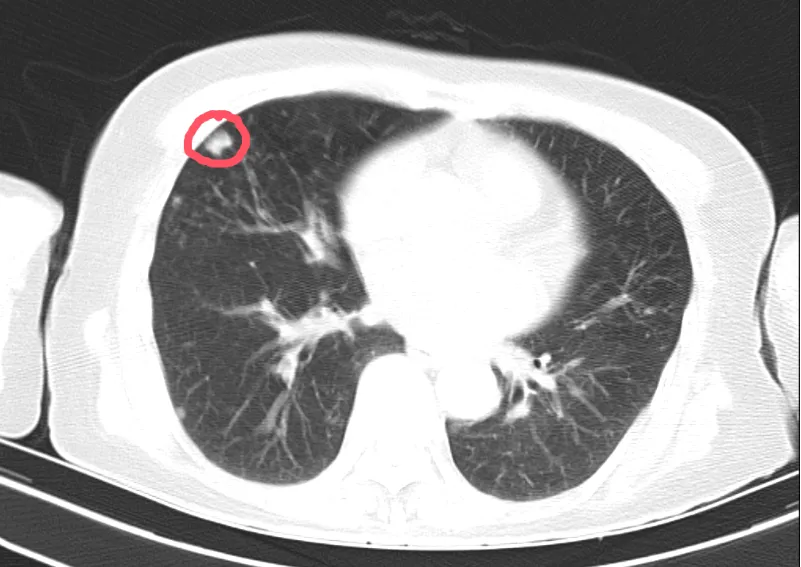
72岁的余婆婆因发现右肺中叶有实性结节,就诊于黄陂区中医医院肺病科(呼吸内科),复查胸部增强CT提示余婆婆肺结节靠近胸部外侧,结合结节大小已达12mm,科室团队在全面评估和深入讨论后,决定为患者实施经皮肺穿刺活检术,进一步明确结节性质,为后续治疗提供科学依据。

此次手术由肺病科与放射科团队联合开展,在CT的精确定位下,医疗团队成功获取病变组织样本,病检结果为肉芽肿。患者术中生命体征平稳,术后复查未出现气胸、出血等并发症,既为患者明确了肺结节的性质,也打开了余婆婆和家属的心结。



疾病科普
什么是肺结节?

肺结节是指肺部影像上各种大小、边缘清楚或模糊、直径小于等于3cm的局灶性圆形致密影,是一种常见的肺部病变,它通常不会引起任何症状,但是有时候会变成恶性肿瘤。医生提醒:一旦发现肺结节,要及时就诊,定期复查,必要时需行进一步检查以明确诊断,避免耽误病情。
什么是经皮穿刺肺活检术?

经皮穿刺肺活检术是借助先进的CT扫描技术,实现病灶的三维重建和精确定位,确保穿刺针能够准确到达目标区域,并通过皮肤穿刺直接获取病变组织进行病理学检查的一种微创诊断方法。该技术具有创伤小、痛苦少、并发症低、恢复快等优势。
经皮肺穿刺活检技术的适应症:
1.原因不明的周围型肺内孤立性结节或肿块,尤其疑为恶性者。
2.经痰液和纤维支气管镜细胞学、微生物学及组织学检查无法定性的肺部病变。
3.伴有胸腔积液、胸膜肥厚性病变的肺内病变的定性诊断。
4.肺内原发或转移性肿瘤需确定组织学类型,以便制定化疗或放疗方案。
5.原因不明的纵隔肿块。
服务信息
地 址:门诊3楼肺病科(呼吸内科)
内科住院部8楼
咨询电话:85932622 85931517