近日,黄陂区中医医院口腔科迎来了一位满面笑容的患者小王,她将一面致谢锦旗送到了口腔科副主任医师易建飞手中,赞他是“古希腊掌管牙齿的神”,这种新潮的感谢语让医生开心不已。

缺牙两年,邻牙"长歪"惹麻烦
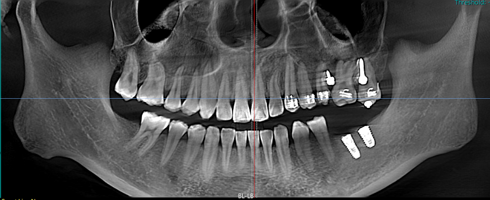
小王右下两颗大牙缺失了两年多,她一直没太在意,直到吃东西越来越费劲,才引起重视来到区中医医院口腔科就诊。易建飞通过CBCT影像检查发现,小王缺失牙齿对应的上颌牙竟然像"疯长的野草"一样伸长了2.3mm!这种情况如果直接种牙,不仅效果不好,还可能导致咬合创伤。
"先正畸后种植",治疗方案让患者重获自信笑容
面对此情况,易建飞团队决定采用"正畸-种植联合疗法",先正畸后种植,先改善牙齿排列和咬合关系,为种植牙提供更理想的条件,也为种植牙齿提升美观性、功能性和长期稳定性。这种综合治疗方式能够更好地满足患者的需求,实现更自然、协调的口腔修复效果。

为让患者理解治疗方案,医生耐心解释:"就像盖楼前要先打地基,你的牙齿也需要先“修轨道”,把伸长的牙齿压回去,才能为种牙创造足够的空间。"经过半年的治疗,小王的牙齿不仅重新对齐,种牙后的咬合功能也完全恢复。"现在啃苹果时,两侧牙齿均匀用力的感觉真的太棒了!"她兴奋地说,"以前因为缺牙,我总是不敢大笑,现在终于可以自信地露出笑容了。"
黄陂区中医医院口腔科:中西医结合,守护您的口腔健康
治疗过程中,医院还结合中医特色疗法,镇痛:针刺合谷、颊车等穴位缓解正畸时的牙痛或颞下颌关节不适。调节免疫力:通过足三里、三阴交等穴位改善全身免疫状态。超声波洁牙后使用中药含漱液巩固疗效,预防种植体周围炎。"中医的调理让我觉得整个治疗过程更舒适、更贴心。"小王补充道。
易建飞提醒,后牙缺失超过3个月就需要及时干预,否则可能导致邻牙移位、咬合紊乱等问题。60%的种植失败案例都源于咬合空间不足,而"先正畸后种植"的联合疗法可以有效避免这些问题,甚至减少30%的骨增量需求。
作为“三甲”中医医院,黄陂区中医医院口腔科不仅拥有先进的数字化设备,还创新融合中医调理技术,为患者提供"治疗-康复-养护"一体化的优质服务。无论是种植、正畸还是修复,这里都能为您量身定制最适合的治疗方案。如果您或家人也有类似的口腔问题,不妨来黄陂区中医医院口腔科看看,让专业团队为您打造健康笑容!
